sailor girlParanoia and Memory Loss/Frontal Lobe Dementia
By Piero G. Antuono, MD, Professor, Department of Neurology and Pharmacology, Director, Memory Disorders Clinic, Medical College of Wisconsin.


Case Presentation

Alzheimer's disease is the most common neurological disease of adult life. It afflicts 4 million people in the United States, and it's incidences increase with age. The early symptoms are characterized by an insidious onset and gradual progression of memory loss.

Some dementias, however, do not follow this pattern. Vascular dementias have recently been characterized by specific diagnostic criteria. They can be summarized by sudden onset of dementia and step-wise progression with focal neurological findings and positive brain imaging. Lewy body dementia is characterized by early appearance of symptoms in the course of dementia, accompanied by progression and hallucinations. Primary progressive aphasia includes early dissolution of speech in an otherwise cognitively intact individual. They can become globally aphasic in spite of being able to continue to run a household or even work. Eventually 20% per year progress to dementia, which appears similar in the advanced states to Alzheimer's disease.

Frontal lobe dementias are characterized by early psychiatric symptoms followed later by cognitive impairments. Frontal lobe syndrome is therefore the presenting symptomatology: apathy, poor social judgment, and bizarre behavior. Histologically, the frontal lobe dementias are proven to be characterized by Pick's cells (Pick's disease). At the present time, these diverse histological types are clinically indistinguishable.

When degenerative neurological diseases affect the subcortical structures, it may cause apathy and slowness of thinking which can be mistaken for dementia. Examples of such conditions are Parkinson's disease, olivo-ponto cerebellar atrophy (OPCA), and hydrocephalus.

The following cases will illustrate a patient with frontal lobe dementia and OPCA as examples of uncommon dementias.



History


A 74-year-old white woman was noted to have undergone a drastic personality change over the last year. She was described as becoming much quieter with several instances of paranoia and suspiciousness. The onset of these changes was described as slow with a gradual progression. She was preoccupied with her own safety. She always locked the house, even when her husband went to mow the lawn. She has been known to prop the back door closed with a shovel. When driving in the evening, she would disguise herself as a man, putting her hair up in a black knit cap. The patient's daughter removed a handgun from the home. Within one week the patient purchased another one. She looks for the gun every morning to make sure she knows where it is. At the present time the patient has hidden the gun and the bullets. She has accused her husband of having an affair. The patient, who was quite neat in the past, has become disheveled, not paying attention to her dressing and hygiene. Her ability to cook and clean the house has significantly deteriorated. In particular, she has developed hiding and hoarding behaviors. She was resistant to throwing anything away, including spoiled food. She tended to "over shop" and pack the freezer and refrigerator with food. Recently, she had become obsessed with winning the sweepstakes, and has ordered many books in order to enhance her chance of winning.

The husband denied his wife has significant memory problems. There is no noted difficulty with memory loss or ability to recognize people or objects. She has shown no difficulty with driving a car, getting lost, or using household appliances and the telephone. The patient has a masters degree in education and has maintained her interests and hobbies, which include learning a foreign language.



Examination


The neurological examination was normal. There was no evidence of dyspraxia or dysnomia during the evaluation. Visual spatial skills appeared to be intact. The Mini Mental State Examination score was 29/30. There was no depression and mood and affect were congruent. Some difficulty was present with abstract thinking.

Neuropsychological testing showed intact remote memory, fluent speech, and non-labile affect. The patient was oriented to time, place, and person. The performance on tests of memory was in the average range. Her constructional and organizational skills were normal. The patient's response to a self-reported depression inventory were also within normal limits. However, on the test of verbal abstraction and reasoning, the patient performed in the low average range. Her ability to generate words was poor, also in the low average range. There was evidence of perseveration. Similarly, there was impairment on tasks which required shifting strategies. Concept formation and mental flexibility was moderately impaired.

In summary, the neuropsychological testing was consistent with normal range for attention, visual spatial processing, and naming. In contrast, the patient had difficulty with executive functioning tasks such as verbal fluency, verbal abstraction, concept formation, and mental flexibility suggesting a predominantly largely frontal lobe dysfunction.

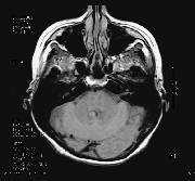
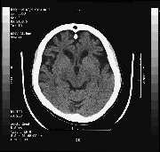
MRI showed a soft tissue lesion in the fourth ventricle (Fig. 1). This was consistent with a probable subependymoma which was thought to be an incidental finding. There was evidence of frontal lobe atrophy (Fig. 2).



figure 1

Figure 1. MRI T-2 study showing a fourth ventricle lesion likely an ependymoma.

figure 2

Figure 2. MRI T-1 study showing predominantly frontal lobe atrophy.

The findings are suggestive of a degenerative disease of the frontal lobes. The presence of impaired judgment and executive skills with normal visual spatial and mnemonic function seem to suggest this condition. These "frontal lobe" dementias histologically have been proven to be consistent with Pick's disease, subcortical gliosis, or simple neuronal loss. The history of normal cognitive performance in the face of poor judgment, poor executive function, and the imaging consistent with frontal lobe involvement are the basis of this diagnosis.

In the later stages as the dementia progresses involving posterior cerebral functions, it resembles Alzheimer's disease. Management is more challenging in the early stages than in Alzheimer's disease due to poor judgment and safety risks these patients represent. Because of this, they tend to be institutionalized earlier than patients with Alzheimer's disease.


Back to Picks directory

Back To Other Dementias Directory